Artículos de Interés
Las ventajas del Puente de Zirconia
Seguramente habrás oído hablar alguna vez de los Puentes de Zirconia. Se trata de una prótesis dental fija que presenta un aspecto totalmente natural.
A diferencia de una corona o puente de porcelana, con uno de zirconia no se verán nunca franjas oscuras a nivel de las encías y estas no cambiarán de color.
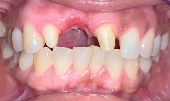
Para que veas el alcance y beneficio del Puente de Zirconia te comparto el caso de un paciente femenino de 38 años.
La paciente acude por infección de un resto radicular en la pieza 1.1 , se presente con puente de la pieza 2.1-1.2, se remueve para extraer resto radicular y se prepara para puente de Zirconia.
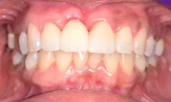
Éste es el resultado final. Increíble ¿verdad?
Artículo publicado por el Dr. Daniel Hilario, fundador de Estética Dental Cuauhtémoc.
[DISPLAY_ULTIMATE_SOCIAL_ICONS]
