Artículos de Interés
¿Qué es y cómo prevenir la Abfracción Dental?
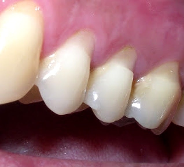
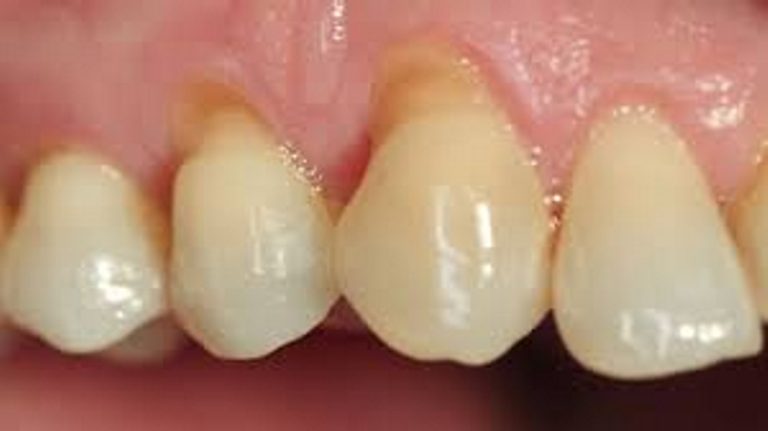
La abfracción dental es una afección que se produce en los dientes debido a la presión repetida y excesiva que se ejerce sobre ellos, lo que provoca una pérdida gradual de la estructura dental. Esto se debe a la flexión del diente, que hace que la capa externa de esmalte se rompa y se produzca una pequeña fisura en la superficie del diente. Con el tiempo, esta fisura se agranda y se forma una especie de muesca en la superficie del diente, lo que se conoce como abfracción dental.
La abfracción dental suele producirse en la zona del cuello del diente, donde el esmalte es más delgado y la dentina es más blanda. La causa más común de la abfracción dental es el cepillado dental vigoroso, que puede ejercer una presión excesiva sobre los dientes y provocar la deformación de la superficie del diente. Además, la masticación de alimentos duros y el bruxismo también pueden contribuir a la aparición de la abfracción dental.
Para tratar la abfracción dental, es necesario realizar una evaluación dental para determinar la extensión del daño en el diente y aplicar las técnicas adecuadas. Si la abfracción es leve, se puede utilizar un sellador dental para proteger la zona afectada y prevenir futuros daños. En casos más graves, puede ser necesario realizar una restauración dental, como una corona o un empaste, para restaurar la estructura del diente y prevenir la progresión de la abfracción dental.
En conclusión, la abfracción dental es una afección dental que se produce por la presión excesiva y repetida que se ejerce sobre los dientes, lo que provoca una pérdida gradual de la estructura dental. El cepillado dental vigoroso, la masticación de alimentos duros y el bruxismo son algunas de las causas más comunes de la abfracción dental. El tratamiento adecuado dependerá de la gravedad de la abfracción, pero puede incluir selladores dentales o restauraciones dentales como coronas o empastes. Es importante prevenir la abfracción dental con una buena higiene dental y evitar la aplicación de presión excesiva sobre los dientes.
Artículo publicado por el Dr. Daniel Hilario, fundador de Estética Dental Cuauhtémoc.
